IDMO 一般社団法人 国際疾病予防検診機構 | 超音波診断装置(エコー診断装置)での健診をすすめています
![]() |
IDMO 一般社団法人 国際疾病予防検診機構 |

向您推荐使用了超声波诊断装置的检诊。
We recommend examination with Health Echo Diagnosis
目で見る聴診器の超音波診断装置
超音波診断装置は「エコー」という名前でも知られています。被験者にまったく負担をかけずに、体内が観察できるので「目で見る聴診器」とも呼ばれ、その普及には著しいものがあります。最近では産婦人科で赤ちゃんの発達状態を観察するのにも利用されているので、お母さんたちにとっては身近な装置かもしれません。原理はやまびこレーダーと同じで、体内に超音波を発射。臓器に当たって跳ね返ってきた反射比の違いを映像として再現して、体内の様子を観察するものです。検査も、超音波を発する小さい触子(プロープ)を体の表面に当てるだけ。もちろん、X線も照射しませんし、苦痛はまったくありません。3〜5分の短い時間で検査でき、画像もリアルタイムでモニターに表示されます。
超声波诊断仪就如有眼的听诊器
超声波诊断仪也叫B超。对被检查的人的身体不加负担,且能观察体内被称作《有眼听 诊器》,所以说他的普及推广也是非常明显的。最近,在产科对胎儿发育成长观察也已 使用,对妈妈来说也成为不可缺的诊断仪。原理很简单,向体内发射超声波,被内脏反 射的不同的反射比转换成投影像来再现体内状况,进行观察,分析。检查时,只是在身 体的表面用一个小小的探头接触,发射超声波。当然,不照射X线,一点不痛。3~5分 钟的很短的时间内完成检查,同时在显示器上看到实况投影。
Ultrasound diagnostic apparatus: A stethoscope inspection seen with the eyes
The ultrasound diagnostic apparatus is also known by the name "echo". The inside of the body can be observed without placing a burden on the body of the examinee. Therefore, it can be thought of as a stethoscope inspection that can be seen with the eyes, and has recently achieved remarkable distribution in the market. Recently, they have also been used to observe the developmental state of unborn child in departments of obstetrics and gynecology, and have become a familiar device for mothers. The principle is the same as the echo radar: emitting ultrasound into a body, and the differences in reflection ratios from sound waves rebounding off the organs form an image, allowing one to observe the state of the inside of a body. Also, the inspection consists merely of touching a small probe that emits ultrasound to the surface of the body. It goes without saying that no x-rays are emitted, and it does not cause any pain. An examination can be completed in 3 to 5 minutes, and an image is shown on a monitor in real time.
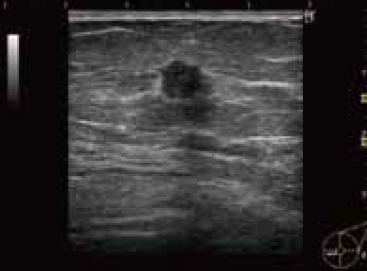
Breast Cancer
低亮度的部分图像区域中边界与内部的图像是不规则的
Irregularities were found in the outer and internal sections with low-intensity, localized images
Arteriosclerosis
粥样动脉硬化
Plaque, arteriosclerosis
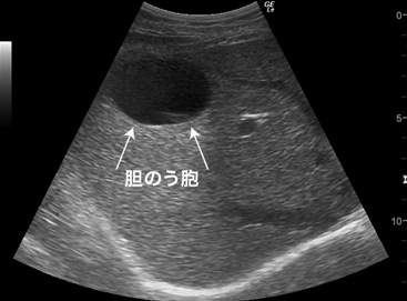
Bile Cyst
直径30mm的局部化低亮度
It was seen as a low-luminance, localized region with a diameter of 30mm
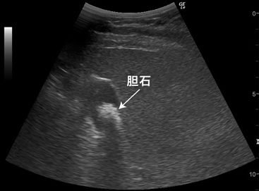
Gallstone
能观察到胆囊内约直径20mm的白色胆结石影像
A white gallstone image of approximately 20mm in diameter is seen in gallbladder
【胆のう】胆石症/胆のうがん/胆のう炎
【肝臓】肝臓がん/肝硬変/肝硬肝
【腎臓】腎臓がん/腎結石/尿管結石
【膵臓】膵臓がん/膵炎/膵石症
【脾臓】脾腫
【膀胱】膀胱がん/膀胱結石
【前立腺】前立腺がん/前立腺肥大症
【乳腺】乳がん/乳腺がん
【子宮】子宮筋腫/妊娠
【卵巣】卵巣がん/卵巣のう種
【頸動脈】プラークの有無/動脈硬化
【甲状腺】甲状腺がん/甲状腺腫大
【胆囊】胆结石/胆囊癌/胆囊炎
【肝脏】肝脏癌/肝硬变/脂肪肝
【肾脏】肾脏癌/肾结石/尿管结石
【膵脏】膵脏癌/膵脏炎/膵石症
【脾脏】脾肿大
【膀胱】膀胱癌/膀胱结石
【前列腺】前列腺癌/前列腺肥大症
【乳腺】乳腺癌/乳腺症
【子宫】子宫肌瘤/妊娠
【卵巣】卵巣癌/卵巣囊肿
【颈动脉】粥样的有无/动脉硬化
【甲状腺】甲状腺癌/甲状腺肿大
[Gallbladder] cholelithiasis / gallbladder cancer/ cholecystitis
[Liver] liver cancer / cirrhosis / liver hardness
[Kidney] kidney cancer / kidney stones / ureteral calculi
[Pancreas] pancreatic cancer / pancreatitis / pancreatic stone disease
[Spleen] splenomegaly
[Bladder] bladder cancer / bladder stones
[Prostate] prostate cancer / benign prostatic hyperplasia
[Mammary gland] breast cancer / breast cancer
[Uterine] uterine fibroids / pregnancy
[Ovarian] ovarian cancer / ovarian cysts
[carotid artery] plaque / arteriosclerosis
[Thyroid] thyroid cancer / thyroid enlargement
お問い合わせについて
メールでのお問い合わせは、下記アドレスまでお願い致します。
→ info@idmo.jp
一般社団法人 国際疾病予防検診機構 / IDMO
電話: 03-6452-9808
咨询
请发电子邮件至以下邮箱地址进行咨询。
→ info@idmo.jp
一般社会团体法人 国际疾病预防检查诊断设施/IDMO
电话: 03-6452-9808
Contact
Please contact us by e-mail at the following address.
→ info@idmo.jp
International Disease Prevention Medical Examination Organization / IDMO
Call: 03-6452-9808








